
college of Health Professions
Diagnostic Medical Sonography
University of Findlay’s Diagnostic Medical Sonography program prepares students to become highly skilled, patient-centered ultrasound professionals
Overview
About the Program
The University of Findlay’s Diagnostic Medical Sonography program prepares students to become highly skilled, patient-centered ultrasound professionals through a rigorous, full-time educational experience that combines advanced academics, hands-on laboratory training, and immersive clinical education.
Designed to meet the evolving demands of modern healthcare, the program emphasizes diagnostic imaging, critical thinking, professionalism, and clinical competency across abdominal, obstetrical/gynecological, and related sonographic specialties. Students complete comprehensive didactic coursework, specialty-focused sonography education, and extensive supervised clinical experience to ensure graduates are workforce-ready and prepared for professional credentialing.
UF’s structured program model allows students to complete foundational coursework, pathology, and technical training prior to entering full-time clinical education, promoting confidence, readiness, and strong clinical performance.
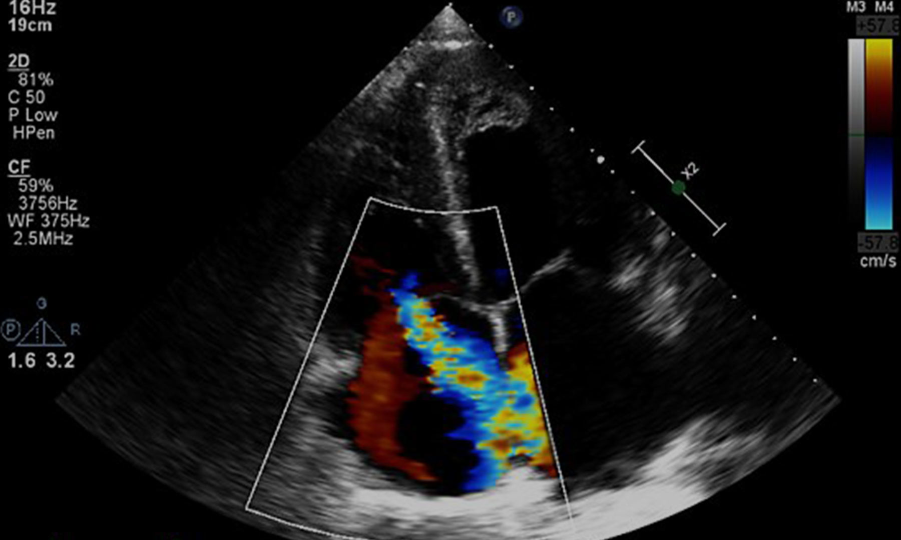
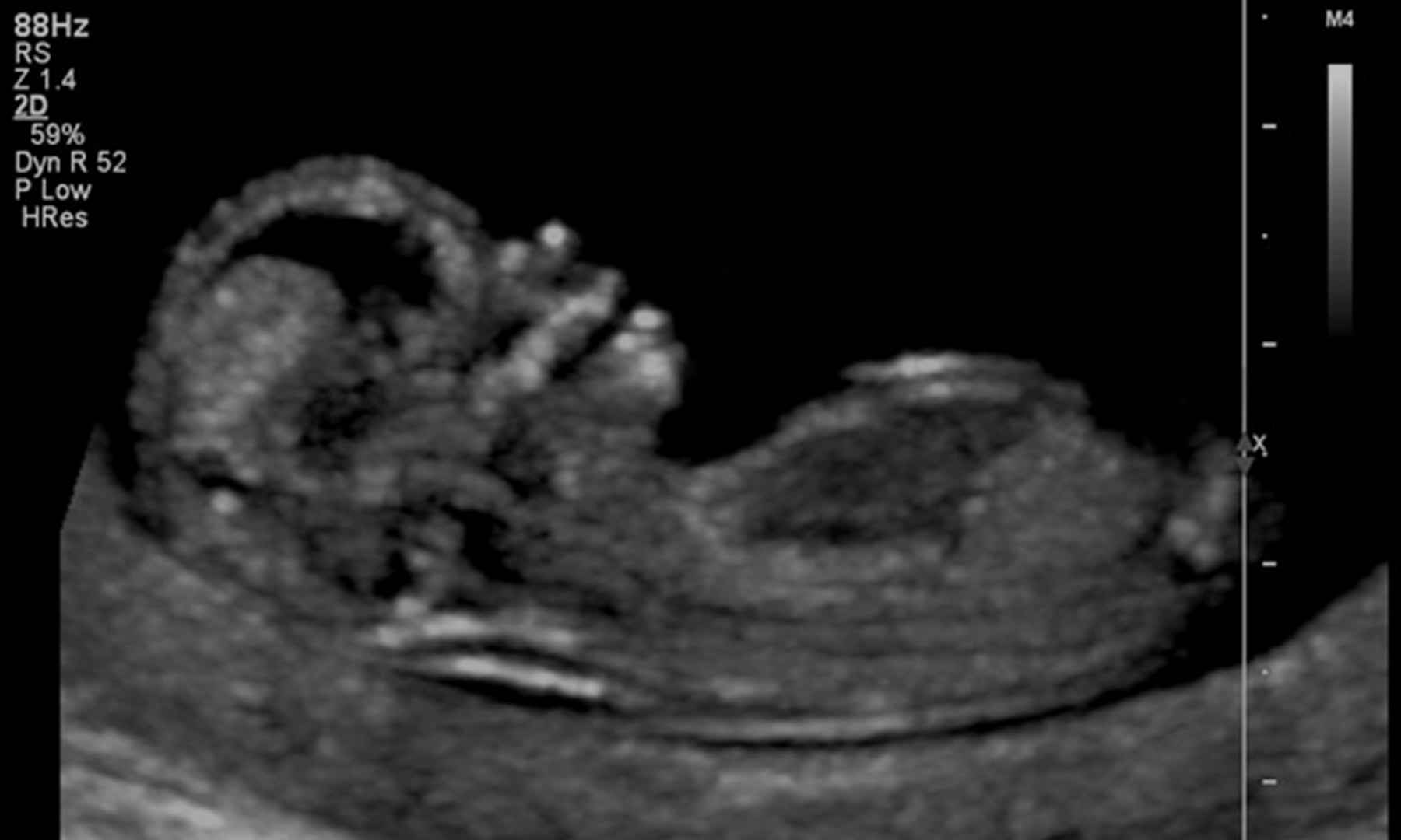
Diagnostic medical sonography is a non-invasive imaging profession that uses high-frequency sound waves (ultrasound) to produce dynamic visual images of organs, tissues, and blood flow within the body. Sonographers play a vital role in patient diagnosis, care, and interdisciplinary healthcare collaboration.
Please note: The Diagnostic Medical Sonography program begins in the summer semester only.
Program
Highlights
At the University of Findlay, a degree in diagnostic medical sonography prepares you to make a meaningful impact in healthcare through compassionate patient care and advanced imaging expertise.
Complete in approximately 14 months
Individualized scanning development
Cadaver laboratory experience
College
At a Glance
Hear from those who found their place here.
College
College of Health Professions
Degree
Bachelor of Science in Diagnostic Medical Sonography
Format
On-Campus
Required credits
120+ Credits
Curriculum
Course Requirements
Students earning a Bachelor of Science in Diagnostic Medical Sonography must complete the following curriculum.
The curriculum consists of required courses grounded in sonographic physics and instrumentation, cross-sectional anatomy, pathology, patient care, and specialty-specific diagnostic imaging. Students complete comprehensive didactic, laboratory, and clinical coursework designed to develop technical proficiency, critical thinking, and professional readiness.

opportunities
Hands-On Experience
Students in the University of Findlay Diagnostic Medical Sonography program complete approximately 35 weeks of supervised clinical education totaling around 1,400 hours, providing extensive real-world experience in patient care, diagnostic imaging, and professional practice.
Clinical education is designed to develop technical proficiency, clinical judgment, and workforce readiness through immersive, full-time placements in approved healthcare environments.
Hands-on experience includes:
- Supervised abdominal, obstetrical/gynecological, and specialty sonographic imaging procedures
- Progressive scanning skill development with credentialed professionals
- Exposure to diverse patient populations and pathology
- Real-world patient care and interdisciplinary healthcare collaboration
- Preparation for credentialing examinations and entry-level employment
Primary clinical placements predominantly occur in hospital-based settings to maximize exposure to high-acuity care, diverse pathology, and comprehensive diagnostic experiences. Additional rotations may occur in outpatient or specialty settings when available to broaden clinical competency.
Prior to admission, applicants are required to complete 8 hours of professional observation (4 General Sonography and 4 Echocardiography), allowing prospective students to gain meaningful exposure to the profession and better understand program expectations.
This structured clinical model ensures graduates are prepared for the demands of modern sonographic practice while fostering confidence, competence, and employer readiness.

TESTIMONIALS
The Oiler Experience
Hear from those who found their place here.
college of Health Professions
Accreditation
The University of Findlay Sonography Programs are accredited by the Commission on Accreditation of Allied Health Education Programs (CAAHEP) upon recommendation of the Joint Review Committee on Education in Diagnostic Medical Sonography (JRC-DMS).



